Notice: BDS & MDS Admission Support: 99197-74489, 80812-10923 | Speak to an Advisor Today BDS & MDS Admission Support: 99197-74489, 80812-10923 | Speak to an Advisor Today

CONSERVATIVE DENTISTRY AND
ENDODONTICS

  • Home
  • CONSERVATIVE DENTISTRY AND ENDODONTICS

DEPARTMENT OF CONSERVATIVE DENTISTRY AND ENDODONTICS

Faculty

Team Area

Dr. Asheesh Sawhny

Principal & HOD

Team Area

Dr. Richa Singh

Professor, MDS

Team Area

Dr. Saurav Paul

READER,MDS

Team Area

Dr. Deeksha Dubey

SENIOR LECTURER

Team Area

Dr Sukesh Kumar Rai

Senior Lecturer

Overview And Scope

Conservative Dentistry and Endodontics is the branch of dentistry which deals with the treatment of caries , malformed, discolored , unesthetic, or fractured teeth, pulpal and periapical diseases and dental pain management. Our vision is to create an environment conductive for enhancement of restorative and endodontic skills.The department has set up its own high standard in patient care, education and research.

The department offers both undergraduate and postgraduate courses

UG Program

  • Our undergraduate program in endodontics typically provides students with a comprehensive understanding of the diagnosis, prevention, and treatment of diseases and injuries affecting dental pulp and surrounding tissues.
  • Students learn about the latest technologies and techniques in the field, gaining hands – on experience through clinical rotations and laboratory work.
  • Students are assessed by monthly theoretical written Assignments and end posting Viva-Voce with Practical assessment.
  • In Second year, the students are exposed to various aspects of the subject theoretically and the skills of students are edged on Latest phantom heads.
  • Students in Clinics get intensive clinical training in variety of restorative procedures. Students are also given demonstration of newer gadgets and techniques. All the lectures are delivered with Smart – TV.

PG Program

  • MDS in Conservative dentistry and Endodontics program is a three year post graduate course in dentistry.
  • Department has an annual intake of 6 Postgraduates
  • Post Graduate trainig involves case discussions, weekly JC meetings , clinical presentations and theoretical seminars and an independent research study.
  • Department also exposes the students to advanced gadgets , devices and techniques like use of lasers, CAD CAM, microscopes , In House Scanner and CBCT .
  • Overall, our post graduate course prepares students to excel as skilled clinicians, researchers , and educators in the specialized field of conservative dentistry and endodontics , equipping them with the knowledge, skills, and confidence to tackle even the most challenging cases with competence and compassion.

Specialised Training:

  • More than 1000 Root Canal Treatments by each Post Graduate Student under Rubber Dam Isolation.
  • Pulp Cappings
  • Apexification & Apexogenesis
  • Retreatment Procedures
  • Micro surgeries,
  • Single Visit RCT
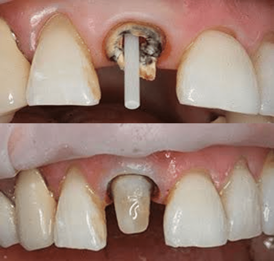
  • Fibre Post –Core
  • Occlusal Rehabilitation
  • Perforation Repairs
  • Hemisection, radisection & bicuspidization
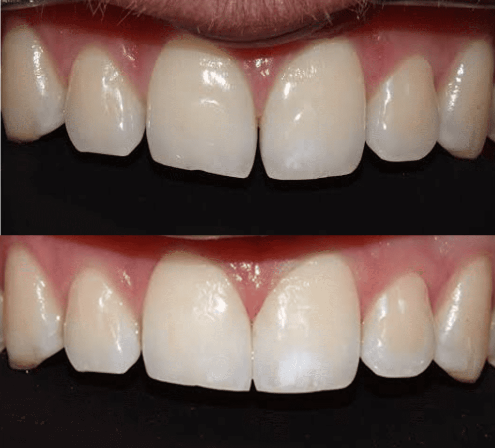
  • Smile designing and esthetic correction
  • Ceramic Veneers
  • ZOOM Bleaching
  • Endodontic Revascularisation
  • Indirect Esthetic Restorations
  • Complicated Root Canal Anatomies Using In House CBCT
  • Interdisciplinary Procedures .

Extension Activities/Outreach Programmes

  • Conducted various lectures / seminars /hands -on workshops by eminent national speakers impairing knowledge on enhancing endodontic and restorative operative skills for students and faculty alike.
  • Student exchange programs
  • Annual Workshops are being conducted on some latest technology.
  • Conferences , Workshops , Guest Lectures, Short term courses , Inter college engagement programs , Celebration on Special Days are key highlights.
  • Dental camps
  • Short term courses
  • Dental Photography Courses
  • Festival Celebrations
  • Poster Competitions
  • National Cons n Endo day
  • Root Appreciation Day
  • State and National Coferences

Department Achievement

  • Publications – more than 300
  • Books – more than 35
  • Patents – 3

Treatments

Events